ホーム » 症例検索 » 大臼歯部に交叉咬合を伴う叢生症例。
大臼歯部に交叉咬合を伴う叢生症例。
- 20代
- ガタガタの歯並び(叢生)
- その他
- 表からの矯正
24歳女性の患者さんです。叢生(ガタガタの歯並び)を主訴に一般歯科からのご紹介で来院されました。上下顎歯列に重度の叢生を認め、左側の上下顎第1大臼歯がすれ違い咬合(交叉咬合)になっています。マルチブラケット装置を用いて便宜抜歯にて矯正治療を行いました。
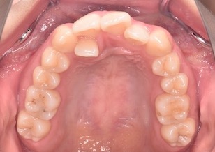
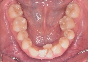
矯正前

Before Ⅰ

Before Ⅱ

Before Ⅲ

Before Ⅳ
上下顎歯列に重度の叢生(ガタガの歯並び)を認めます。下顎の右側側切歯は先天欠如を認めました。上顎右側側切歯は舌側に転位し反対咬合になっています。
また左側の上下顎第1大臼歯がすれ違い(交叉咬合)となっています。~すれ違い咬合の改善は難易度が高い治療となります。~
Before Ⅳの写真は、大臼歯部の交叉咬合を改善させるためのエラスティックス(患者さん自身で簡単に取り外しのできる輪ゴム)のイメージです。
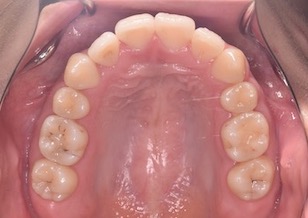
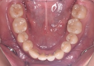
矯正後

After Ⅰ

After Ⅱ

After Ⅲ

After Ⅳ
マルチブラケット装置を装着し、左側上下顎第1大臼歯部にクロスエラスティックス(患者さん自身で付け外しのできる輪ゴム)を装着していただき大臼歯部の交叉咬合の改善を行いました。上顎左右第1小臼歯2本と下顎の左側側切歯の合計3本を便宜抜歯して歯列の整直と咬合の確立を行いました。また治療上の工夫としてIPR(エナメルストリッピング)を数カ所において行いました。
その結果、上下顎の歯並びは整直されともにキレイな歯並びとなりました。左側第1大臼歯部の交叉咬合ならびに側切歯部の反対咬合は改善され、全てのエリアで正常な咬み合わせになりました。
動的治療期間 : 1年10ヵ月
治療費用:約90万円
矯正治療には一般的に以下のようなリスクと副作用があります。
・患者さんによる適切なブラッシングが行われなかった場合に虫歯ができることがあります。
・ブラケット(装置)が粘膜を過度に刺激した場合、口内炎が起こることがあります。
・歯の初期移動の際に痛みを感じる場合があります。(通常数日で治ります)
・長期間の歯の移動により極めて希に歯根吸収が起こることがあります。
・矯正用の取り外し式ゴムを指示通り使用しなかったり、口腔の悪習癖が改善されない場合、計画している歯の動きが得られないことがあります。
・歯の裏側にブラケットを装着して治療を行う場合、装着後一定期間発音障害が起こることがあります。




