ホーム » 症例検索 » 早期治療により永久歯非抜歯にて矯正治療が完了できた骨格性反対咬合症例。(上下顎歯列の叢生・臼歯部交叉咬合・埋伏犬歯を認める)
早期治療により永久歯非抜歯にて矯正治療が完了できた骨格性反対咬合症例。(上下顎歯列の叢生・臼歯部交叉咬合・埋伏犬歯を認める)
- 9~13歳
- 受け口(反対咬合)
- ガタガタの歯並び(叢生)
- 埋伏歯
- 交叉咬合
- 表からの矯正
10歳女児の患者さんです。反対咬合(受け口)と叢生(ガタガタの歯並び)を主訴に一般歯科からのご紹介で来院されました。骨格性反対咬合(上下顎骨の前後的な位置不正が原因)の症例でしたが、成長発育期における早期矯正治療を開始できたことにより非抜歯にて反対咬合ならびに叢生の改善ができました。
矯正前

Before Ⅰ

Before Ⅱ

Before Ⅲ

Before Ⅳ
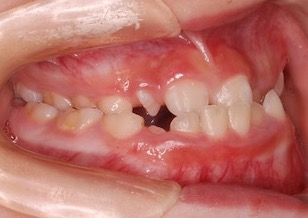
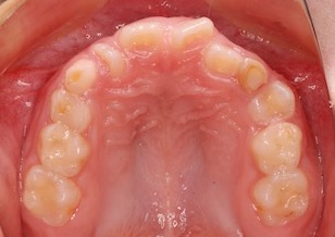
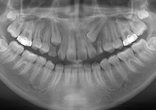
上顎骨の劣成長に起因する骨格性反対咬合(上下顎骨の前後的な位置不正が原因)で、前歯部は反対咬合となっており咀嚼障害を認めます。 上下顎歯列において叢生(ガタガタの歯並び)と 上下顎歯列の正中線のズレが認められます。 左側上下顎第一大臼歯は交叉咬合となっています。レントゲン所見では、上顎左側犬歯が方向異常にてその隣の側切歯の歯根にぶつかって埋伏していました。
骨格性反対咬合の矯正治療では、成長期において早期に前歯部の反対咬合を改善することでその後の上顎骨の成長を妨げられないようにする事が非常に重要であり、また反対咬合に多くみられる上顎歯列の叢生(ガタガタの歯並び)をスペース不足の解消を行い、非抜歯にて治療を行うことが可能です。
Before Ⅳの写真は、治療中のパノラマレントゲンです。(上顎左側犬歯が方向異常にてその隣の側切歯の歯根にぶつかって埋伏しています。)
矯正後

After Ⅰ

After Ⅱ

After Ⅲ

After Ⅳ
今回の症例については、以下の手順において動的治療を行いました。
①上顎にExpansion plate(患者さんがご自身で取り外しのできる装置)を使用し、歯列の側方拡大を行うことで上顎前歯部のスペース不足の解消と左側臼歯部交差咬合の改善を行いました。
②永久側方歯部のスペース不足に対して、リップバンパー(患者さんがご自身で取り外しのできる装置)による上顎左右第1大臼歯の後方移動を行いました。
③マルチブラケット装置を装着し、上顎歯列のレベリング(整列)と上顎の左右側犬歯の萌出スペース不足の解消治療を行いました。
④口腔外科にて埋伏歯部の歯肉開窓(切開)を行っていただき埋伏していた左側上顎犬歯にブラケットを装着し正常な位置への移動を行いました。
その後、マルチブラケット装置による個々の永久歯の3次元的な移動を行い、歯列の整直と咬み合わせの確立を行いました。
治療結果として、非抜歯にて上下顎歯列ともに整ったキレイな歯並びとなり、前歯部の反対咬合(受け口)は改善され正常で機能的な咬み合わせが得られました。
After Ⅳのお写真は、埋伏していた上顎左側犬歯を牽引途中のお写真です。
動的治療期間 : 5年11ヵ月
治療費用:約100万円
矯正治療には一般的に以下のようなリスクと副作用があります。
・患者さんによる適切なブラッシングが行われなかった場合に虫歯ができることがあります。
・ブラケット(装置)が粘膜を過度に刺激した場合、口内炎が起こることがあります。
・歯の初期移動の際に痛みを感じる場合があります。(通常数日で治ります)
・長期間の歯の移動により極めて希に歯根吸収が起こることがあります。
・矯正用の取り外し式ゴムを指示通り使用しなかったり、口腔の悪習癖が改善されない場合、計画している歯の動きが得られないことがあります。
・歯の裏側にブラケットを装着して治療を行う場合、装着後一定期間発音障害が起こることがあります。




