ホーム » 症例検索 » 上顎歯列に3歯の埋伏歯を認める叢生症例。
上顎歯列に3歯の埋伏歯を認める叢生症例。
- 14~19歳
- ガタガタの歯並び(叢生)
- 埋伏歯
- 表からの矯正
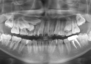
14歳男児の患者さんです。右側上顎永久歯の萌出遅延を主訴に口腔外科からのご紹介で来院されました。右側上顎犬歯と第1小臼歯、第2小臼歯の3本が埋伏しており、マルチブラケット装置を装着し口腔外科との連携治療にて埋伏歯を正常な位置へ移動し、便宜抜歯を行い矯正治療を行いました。
矯正前

Before Ⅰ

Before Ⅱ

Before Ⅲ

Before Ⅳ
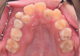
上下顎歯列に叢生(ガタガタの歯並び)を認めます。
レントゲン所見では、 右側上顎犬歯と第1小臼歯、第2小臼歯の3本が埋伏しております。右側上顎犬歯は隣の側切歯の歯根を圧迫し側切歯の歯根吸収を引き起こしており今後更なる歯根吸収の可能性が考えられました。
一般的には埋伏歯を放置しておいた場合、隣在歯の歯根吸収(歯冠が他の歯の歯根を圧迫することにより、歯根が溶けてしまうこと)が起こる場合があるので早めの対策が必要です。
BeforeⅠは、治療前のパノラマレントゲンです。
BeforeⅡは、治療前の上顎歯列です。
BeforeⅢは、右上顎第2大臼歯が萌出開始しています。左上の乳歯が脱落し、左上顎第2小臼歯にマルチブラケット装置を装着して牽引中のお写真です。
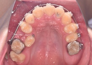
BeforeⅣは、右上顎第1小臼歯が萌出開始し、マルチブラケット装置を装着して牽引中のお写真です。
矯正後

After Ⅰ

After Ⅱ

After Ⅲ

After Ⅳ
口腔外科との連携治療を行い精密検査をもとに診断の結果、方向異常にて埋伏している右上顎犬歯と右下顎第1小臼歯を便宜抜歯してマルチブラケット装置を装着して矯正治療を行いました。
埋伏歯2本に対しては乳臼歯の抜歯と上顎歯列のLevelingにより適切なスペースを付与させることで一部の歯冠を誘導させてその後牽引治療を行いました。
下顎の叢生においては、右下顎第1小臼歯の便宜抜歯スペースを利用して歯列の整直と咬合の確立を行いました。また治療上の工夫としてIPR(エナメルストリッピング)を数カ所において行いました。
その結果、上顎の埋伏歯は正常な位置への移動が達成されました。上下顎歯列ともにキレイな歯並びとなり、全ての歯が正常に咬み合う機能的な状態となりました。
AfterⅠは、治療終了時のパノラマレントゲンです。
AfterⅡは、マルチブラケット装置を装着して右上顎第2大臼歯以外の上顎歯列が整直しているお写真です。
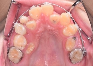
AfterⅢは、右上の乳臼歯を抜歯し、右上顎第2小臼歯にマルチブラケット装置を装着して牽引中のお写真です。
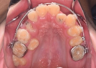
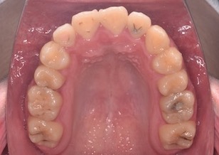
AfterⅣは、治療終了時の上顎歯列です。
動的治療期間 : 3年9ヵ月
治療費用:約90万円
矯正治療には一般的に以下のようなリスクと副作用があります。
・患者さんによる適切なブラッシングが行われなかった場合に虫歯ができることがあります。
・ブラケット(装置)が粘膜を過度に刺激した場合、口内炎が起こることがあります。
・歯の初期移動の際に痛みを感じる場合があります。(通常数日で治ります)
・長期間の歯の移動により極めて希に歯根吸収が起こることがあります。
・矯正用の取り外し式ゴムを指示通り使用しなかったり、口腔の悪習癖が改善されない場合、計画している歯の動きが得られないことがあります。
・歯の裏側にブラケットを装着して治療を行う場合、装着後一定期間発音障害が起こることがあります。




