ホーム » 症例検索 » 早期治療により永久歯非抜歯にて矯正治療が完了できた埋伏歯を認める叢生症例。
早期治療により永久歯非抜歯にて矯正治療が完了できた埋伏歯を認める叢生症例。
- 9~13歳
- ガタガタの歯並び(叢生)
- 埋伏歯
- 表からの矯正
9歳女子の患者さんで叢生(ガタガタの歯並び)を主訴に来院されました。
上顎左側犬歯が埋伏しており、外科的に歯肉開窓処置を行なって埋伏歯を正常な位置へ牽引・誘導を行うためマルチブラケット装置を装着し、口腔外科とのインターディシプリナリー治療(専門医連携治療)を行なった症例です。
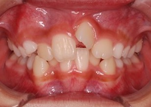
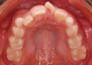
矯正前

Before Ⅰ

Before Ⅱ

Before Ⅲ

Before Ⅳ
上下顎歯列に叢生(ガタガタの歯並び)を認めます。
初診時のレントゲン所見では、上顎左側犬歯は隣の側切歯の歯根に重なるように埋伏していました。上下顎歯列にDiscrepancy(永久歯の歯の大きさと基底骨である顎骨の大きさとの不調和)が認められました。埋伏歯に対しての矯正学的アプローチとして口腔外科との連携による治療(インターディシプリナリー治療)として埋伏歯への開窓・けん引治療を行いました。
その後のレントゲン所見では、上顎左右第2大臼歯の埋伏が認められました。
Before Ⅰ、Ⅱの写真は、初診時の口腔内写真です。
Before Ⅲの写真は、初診時のパノラマレントゲン写真です。
Before Ⅳの写真は、口腔外科にて埋伏していた左側上顎犬歯を歯肉開窓し、ブラケットを装着した時の写真です。
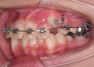
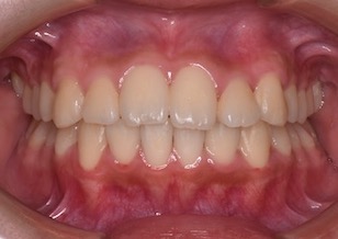
矯正後

After Ⅰ

After Ⅱ

After Ⅲ

After Ⅳ
今回の症例については、以下の手順において動的治療を行いました。
①上顎にExpansion plate(患者さんがご自身で取り外しのできる装置)を使用し歯列の側方拡大を行うことで上顎前歯部のスペース不足の解消を行いました。
②永久側方歯部のスペース不足に対して、ヘッドギア(ヘッドギアは在宅時間のみ使用していただく、患者さん自身で付け外しのできる顎外装置です。)による上顎左右第1大臼歯の後方移動ならびに上顎骨の成長コントロールを行いました。
③左側上顎埋伏歯へのアプローチとして以下の手順にて矯正治療を行いました。
A:上顎歯列にマルチブラケット装置を装着する。
B:ワイヤーの交換を順次行い、歯列のレベリングとスタビライズを行う。埋伏歯のための十分なスペースを確保する。
C: 準備が整ったところで口腔外科にて埋伏歯部の歯肉開窓(切開)を行っていただく。→埋伏歯の表面に矯正医がブラケットを装着する。
D:スタビライズされた歯を固定源として、適切なフォースとベクトルで埋伏歯を牽引する。
④埋伏していた上顎右側犬歯を正常な位置へ大まかに移動が完了した後、マルチブラケット装置による個々の永久歯の3次元的な移動を行い、咬み合わせの確立を行いました。
その結果、埋伏していた上顎左側犬歯は正常な位置に移動が完了しました。
埋伏している左右上顎第2大臼歯の萌出については、上顎左右第3大臼歯を抜歯することにより自力で萌出してくることができました。
早期治療による永久歯のためのスペース不足の軽減治療と成長発育の旺盛な時期にヘッドギアによる上顎骨の成長コントロール(抑制)治療の効果が十分あらわれ、その後の再診断により、小臼歯非抜歯にて上下顎歯列はキレイに整い、すべてのエリアで正常で機能的な咬み合わせを得ることができました。
After Ⅰの写真は、左側上顎犬歯を牽引・移動中の口腔内写真です。
After Ⅱの写真は、埋伏していた左側上顎犬歯が正常な位置へ移動を完了した写真です。
After Ⅲの写真は、治療中のパノラマレントゲン写真です。右側上顎第3大臼歯が右側上顎第2大臼歯に重なるように埋伏しています。左側上顎第3大臼歯と左側上顎第2大臼歯も埋伏していることが確認できます。
After Ⅳの写真は、治療後の口腔内写真です。
動的治療期間 : 7年9ヵ月
治療費用:約100万円
矯正治療には一般的に以下のようなリスクと副作用があります。
・患者さんによる適切なブラッシングが行われなかった場合に虫歯ができることがあります。
・ブラケット(装置)が粘膜を過度に刺激した場合、口内炎が起こることがあります。
・歯の初期移動の際に痛みを感じる場合があります。(通常数日で治ります)
・長期間の歯の移動により極めて希に歯根吸収が起こることがあります。
・矯正用の取り外し式ゴムを指示通り使用しなかったり、口腔の悪習癖が改善されない場合、計画している歯の動きが得られないことがあります。
・歯の裏側にブラケットを装着して治療を行う場合、装着後一定期間発音障害が起こることがあります。




