ホーム » 症例検索
症例検索
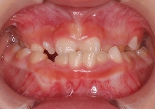
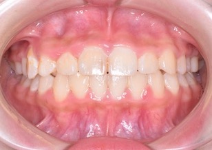
- 9~13歳
- ガタガタの歯並び(叢生)
- 埋伏歯
- 表からの矯正

Before

After
- 14~19歳
- ガタガタの歯並び(叢生)
- 埋伏歯
- 表からの矯正

Before

After
- 9~13歳
- 受け口(反対咬合)
- ガタガタの歯並び(叢生)
- 埋伏歯
- 交叉咬合
- 表からの矯正

Before

After
- 9~13歳
- 出っ歯(上顎前突)
- ガタガタの歯並び(叢生)
- 埋伏歯
- 表からの矯正

Before

After

Before

After
- 20代
- 開咬
- ガタガタの歯並び(叢生)
- 埋伏歯
- 表からの矯正

Before

After
- 20代
- ガタガタの歯並び(叢生)
- 埋伏歯
- その他
- 表からの矯正

Before

After
- 14~19歳
- ガタガタの歯並び(叢生)
- 埋伏歯
- 表からの矯正

Before

After

Before

After

Before

After
- 9~13歳
- ガタガタの歯並び(叢生)
- 埋伏歯
- 表からの矯正

Before

After

Before

After

Before

After
- 9~13歳
- ガタガタの歯並び(叢生)
- 埋伏歯
- 表からの矯正

Before

After

Before

After

Before

After
- 14~19歳
- 顎変形
- 受け口(反対咬合)
- 埋伏歯
- 表からの矯正

Before

After
- 9~13歳
- ガタガタの歯並び(叢生)
- 埋伏歯
- 表からの矯正

Before

After
- 20代
- ガタガタの歯並び(叢生)
- 埋伏歯
- 表からの矯正

Before

After

Before

After
- 14~19歳
- ガタガタの歯並び(叢生)
- 埋伏歯
- 表からの矯正

Before

After
- 30代
- ガタガタの歯並び(叢生)
- 隙っ歯
- 埋伏歯
- 表からの矯正

Before

After

- 電話受付時間
- 9:30 ~ 18:30
- 休診日
- 木曜日・日曜日・祝日
※月一回、休日診療を行っております